A Seattle woman has been charged with raping a man who told cops he awoke in his bed to find his attacker sexually assaulting him while she had his hands pinned down, according to a police report.
Read More »World
Microsoft co-founder Paul Allen to donate $9m for Ebola fight
The CDC Foundation landed a $9 million grant from the Paul G. Allen Family Foundation for its response to the Ebola outbreak in West Africa.
Read More »Halifax woman accused of impaired driving in school zone : RCMP
The RCMP have charged a Halifax woman with impaired driving after she was stopped speeding through a Chester school zone.
Read More »Wearable robot will put a spring in soldiers’ steps (Video)
Soldiers in the future could be equipped with “Soft Exosuits” under their combat gear, making it easier to walk long distances and carry heavy loads, thanks to robotic research going on at Harvard University and grant money from the Defense Advanced Research Projects Agency (DARPA).
Read More »Erika Murray : US woman charged after baby’s bodies found in her house
A woman is under arrest after the remains of three infants were found in a Blackstone home on Thursday. The discovery was made at 23 St. Paul Street during a child endangerment investigation.
Read More »High-dose opioid prescribing rising dramatically in Canada, Study
The rate of high-dose opioid prescribing in Canada has shot up dramatically in the past six years despite guidelines advising against it, suggesting that the country’s prescription drug problem is still out of control.
Read More »US Court Orders Man to Stop Spreading HIV
A court order has been issued to stop a Seattle man from infecting people with HIV. According to King County court documents a man identifed only as “AO” has infected at least eight people with the virus.
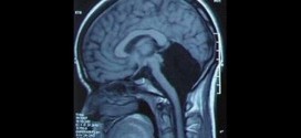
Read More »24-year old woman discovers part of her brain is missing
A woman in China has stunned doctors after a trip to the emergency room for dizziness and nausea revealed that a key part of her brain was missing. It appears the woman was born without a cerebellum, a small but major part of the brain that controls such things as movement and balance.
Read More »Arsh Shah Dilbagi : 16-year-old makes device to turn breath into words
Arsh Shah Dilbagi, a 16-year-old student of DAV Public School, Panipat, has been selected as one of the 15 Google Science Fair 2014 finalists. Dilbagi has developed an AAC device for people suffering from developmental disabilities like Parkinson’s disease, Down syndrome, ALS etc.
Read More »Girl Disappointed VIP Is Obama Not Beyonce (Video)
President Barack Obama and first lady Michelle Obama left the White House to take part in a volunteer project in Washington, DC on Thursday. One young volunteer knew someone important was coming, but might have been a bit disappointed to see the Obamas.
Read More »Paris Hilton buys world’s smallest Pomeranian (Video)
Forget Mr. Right. Paris Hilton has found Mr. Amazing! The hotel heiress is now the proud owner of the “World’s Smallest Pomeranian,” after she purchased a dog for $13,000, a new report says. Yes you read that right, $13,000.
Read More »
Canada Journal – News of the World Articles and videos to bring you the biggest Canadian news stories from across the country every day