On Monday the NBA officially charged Donald Sterling with damaging the league and its teams with his racist comments, and set up a hearing on June 3 where the other owners could vote to terminate his ownership of the Los Angeles Clippers.
Read More »News
Letterman: I Regret Mocking Monica Lewinsky (Video)
One last meeting of two media titans. Wednesday night Barbara Walters was a guest on the “Late Show.” With both she and David Letterman on the verge of retirement, it was quite a retrospective conversation — and Letterman revealed a regret.
Read More »Pamela Anderson : Star opens up about history of sexual abuse
The blonde bombshell is probably known best as CJ Parker in TV’s “Baywatch,” but it seems that actress and former Playboy Bunny Pamela Anderson had more secrets than she let the world in on. In a report by CNN, it was during the launch of her animal rights charity, The Pamela Anderson Foundation, at the Cannes Film Festival, that she …
Read More »Burger King Changes ‘Have It Your Way’ Slogan After 40 Years
The burger chain is rolling out a new tag line. As of today, customers will be instructed to “Be Your Way,” as opposed to the longtime motto, “Have It Your Way.” The company has not actively been using the “Have It Your Way” slogan for some time in the U.S. Instead, Burger King has been using the “Taste Is King” …
Read More »Foreclosures may be driving the rise in suicides, study finds
The recent U.S. foreclosure crisis contributed significantly to the nation’s jump in suicides, independent of other economic factors associated with the Great Recession, according to a study by Dartmouth and Purdue professors. The study is the first to ever show a correlation between foreclosure and suicide rates. The authors analyzed state-level foreclosure and suicide rates from 2005 to 2010. During …
Read More »Dolly Parton lists West Hollywood home for $1.39 million
West Hollywood is losing a celebrity. And this time it’s a real one, not one of those reality TV characters who troll our streets with paparazzi in tow. According to the real estate Multiple Listing Service, a house at 9060 Harland Ave. in the Norma Triangle neighborhood is on the market. The owner is none other than country music queen …
Read More »Israeli forces kill 2 teenagers at Nakba rally (Video)
Security camera footage obtained by Defense for Children International Palestine (DCI-Palestine) shows two Palestinian teens being shot and killed during clashes near Ofer military prison in the West Bank city of Beitunia on Thursday 15 May.
Read More »Warmer climate to suit female sea turtles, Study
Rising temperatures could lead to more female sea turtles but won’t affect population size, research from Swansea University (UK) finds. Above a certain incubation temperature of about 29 degrees, most sea turtle eggs will produce female hatchlings. Although the sex ratio will be altered the overall population size will not crash, at least for a few decades, because males breed …
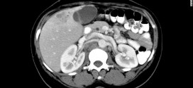
Read More »Pancreatic cancer second most deadly by 2030, study shows
A new study suggests pancreatic cancer will become the second leading cause of cancer deaths by the year 2030. Researchers project lung cancer will still top the list, but pancreatic and liver cancers will jump to the second and third spots surpassing breast, prostate and colorectal cancers.
Read More »Six lost pets died in back of Langley dog walker’s truck, searchers say
A shocking twist to the case about the dogs in Langley that were reported missing last week, they are dead. Corporal Holly Marks with Langley RCMP has confirmed the dogs’ bodies have been found in Abbotsford. Marks says it appears they died of heat exhaustion in the back of the dog walker’s vehicle.
Read More »Venus Express gets ready to take the plunge (Video)
After eight years of study of the second planet in our Solar System, ESA’s Venus Express orbiter is winding up its science program in anticipation of a plunge into the Venusian atmosphere sometime in the next two months. The space agency says that the unmanned orbiter’s service life is coming to an end because its propellant is running low, so …
Read More »
Canada Journal – News of the World Articles and videos to bring you the biggest Canadian news stories from across the country every day