A new study has been released exploring the DNA of current and ancient people of places like Alaska, Greenland, and Siberia, revealing that a number of cultures survived the harsh climate for thousands of years.
Read More »Science
New research sheds light on rabbit domestication, Study
Today, you can find all kinds of breeds of domesticated rabbits. Yet what genetic changes actually transformed wild rabbits into domesticated forms has long remained a mystery. Now, scientists have found that many genes controlling the development and the brain and the nervous system were particularly important for rabbit domestication.
Read More »NOAA : 20 Corals Added to Endangered Species List
The US National Oceanic and Atmospheric Administration (NOAA) announced on Tuesday that 20 new types of coral reef species have been listed as protected under the Endangered Species Act (ESA).
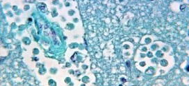
Read More »Brain-eating bugs found in towns’ water system
A deadly brain-eating bacteria has been found thriving in a Louisiana parish water supply serving more than 12,000 people.
Read More »Earthquakes Rock Iceland Volcano, Report
Earthquakes are rocking Iceland’s Bardarbunga volcano, adding to concerns that magma movements may trigger an eruption that could hinder air traffic.
Read More »Researchers raised these fish to walk on land
Researchers examining an unusual African fish that can walk and breathe air think they’ve learned a thing or two about how our distant ancestors made the leap from the oceans to terra firma some 400 million years ago.
Read More »Researchers bring Kennewick Man to life in new book
The skeleton of a North American man dated to 9,000 years ago is the subject of a 680-page book that examines the ancient find and its implications for early native cultures.
Read More »Researchers study release of methane from Atlantic Ocean floor
The Atlantic Ocean floor off the U.S. East Coast has over 500 methane vents, a new study has found. The study, conducted by researchers at the Mississippi State University, shows that large amount of methane leaking from the seafloor might be contributing to global warming.
Read More »Rocket With Army Weapon Explodes After Launch, US military
The Pentagon announced Monday that an early morning test launch of the U.S. Army’s Advanced Hypersonic Weapon—a new Conventional Prompt Global Strike (CPGS) weapon—failed, triggering initiation of a self-destruct sequence.
Read More »Virginia Boy finds 10000-year-old arrowhead on New Jersey beach
Most trips to the beach yield nothing more than a shoe full of sand and a few broken shells; Lucky beachgoers might find an unbroken sand dollar. Ten-year-old Noah Cordle of Springfield, Virginia, however, found a 10,000-year-old arrowhead while visiting Long Beach Island with his family, the Asbury Park Press reports.
Read More »Young orca escapes fisherman’s net as tourists look on (Photo)
A Vancouver Island whale watching group’s quest to see nature up close included some tense moments Thursday after their boat responded to a fisherman’s distress call involving a young orca ensnared in his gill net.
Read More »
Canada Journal – News of the World Articles and videos to bring you the biggest Canadian news stories from across the country every day